DIFFUSION TENSOR IMAGING (dti)

WHAT IS A DTI EXAM?

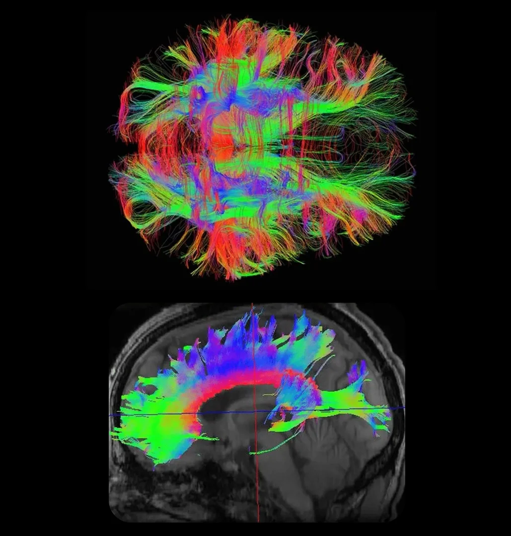
Diffusion Tensor Imaging (DTI) is one of the most advanced tools available for detecting traumatic brain injuries that traditional MRI and CT scans often overlook. By mapping white matter pathways, DTI uncovers diffuse axonal injury (DAI), even after mild trauma.

Why does that matter? Because brain injuries do not have to be severe to disrupt executive function, memory, focus, and cognitive control. Yet millions go undiagnosed, with symptoms misattributed or missed entirely.

DTI delivers deeper brain visualization and objective evidence of injury, empowering earlier detection, clearer answers, and more confident clinical decisions.

NeuroQuant
Our DTI Software

DFW OPEN MRI LOCATIONS & TECHNOLOGY

The facility offers specialized DTI services across three convenient locations in the Dallas-Fort Worth area, utilizing high-performance imaging equipment.

Dallas (Main Office):

  • Address: 1450 Regal Row, Dallas, TX 75247
  • Equipment: GE 3T with AIR Recon DL (High-resolution imaging for detailed diagnostics).

Arlington:

  • Address: 1106 West Arbrook Blvd #104, Arlington, TX 76015
  • Equipment: Siemens 3T

Garland:

  • Address: 3921 Broadway Blvd, Garland, TX 75043
  • Equipment: GE 1.5T with AIR Recon DL

Contact Information:

WHY DTI STUDIES ARE IMPORTANT

Diffusion Tensor Imaging (DTI) is highlighted as a superior diagnostic tool for identifying brain issues that standard imaging might overlook.